Caso Clinico Pagina: 101 Regularización (Fractura de tobillo)

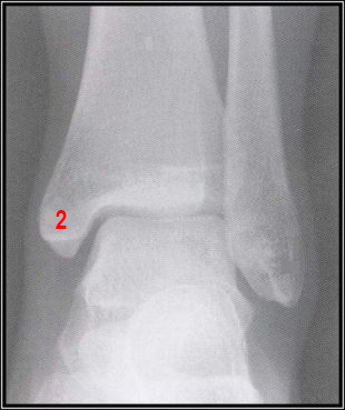
Mujer de 26 años de edad que acude a la consulta tras sufrir caída de su propia altura cuando caminaba a una fiesta; refiere inversión forzada del pie izquierdo. Durante la exploración física se observó aumento de volumen en la cara lateral del tobillo izquierdo y dolor localizado. Se diagnostica esguince del ligamento colateral externo de la articulación del tobillo. Se toma radiografía anteroposterior y lateral del tobillo. Se observó un trazo de fractura en la unión del maléolo lateral y la diáfisis de la fíbula.

Fecha de apertura: 06 de Marzo del 2023 a las 8:00 hrs

Fecha de Cierre: 10 de Marzo del 2023 a las 23:59 hrs